HEALTH
Discover the Pharmacy Cream That Can Help Fight Skin Cancer!
Published
2 weeks agoon
By
OBS
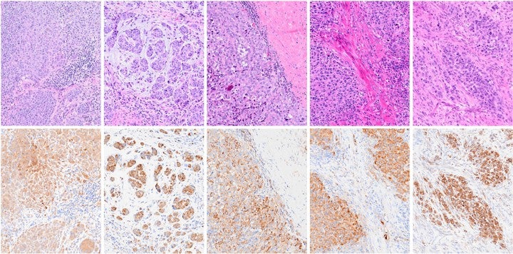
Simple steroid creams could offer a new weapon in the fight against cancer, according to groundbreaking new research.
Scientists at the Cancer Research UK Manchester Institute have made the unexpected discovery that these common creams can shrink melanoma tumours.
The experts believe this mechanism could also prove effective against other forms of cancer.
Their findings reveal that steroids work by blocking a protein called Garp, which typically allows cancer cells to evade detection by the immune system. By inhibiting Garp, the body’s own immune defences are activated, enabling them to target and destroy cancerous cells.
Dr Charles Earnshaw, National Institute for Health and Care Research clinical lecturer at the Cancer Research UK Manchester Institute, University of Manchester, and colleagues were examining whether commonly-used cream treatments might have a role in changing the inflammation inside melanoma tumours.
“Surprisingly, the only cream treatment that did result in tumour shrinkage were topical steroids,” he told the PA news agency.
“This was unexpected, but the breakthrough came when we saw that the steroids were acting to actually stimulate an immune response against the cancer, despite the fact that steroids are inherently immunosuppressive or dampen the immune system.
“Further investigation led us to find that the steroids were reducing the level of a protein called Garp on the tumour cells.
“And then this, in turn, allowed the reactivation of the immune response, basically to kill the cancer.”
Alongside cell work, the researchers analysed large sets of data including more than 2,000 people, plus 40 tumour samples from patients with melanoma.
They found that patients whose tumours show stronger signs of being able to respond to steroids live longer, while those with high levels of Garp have a poorer overall survival.
“This study uncovers a few things, ” Dr Earnshaw said.
“It shows that actually, there might be circumstances when steroids can trigger immune responses to cancer, and it suggests that this protein called Garp might be a really nice therapeutic target going forward to inhibit… not only in melanoma, but potentially in other cancers as well.”
Dr Earnshaw, who is also a dermatologist at the Northern Care Alliance NHS Foundation Trust, said there could be “very specific circumstances when topical steroids or otherwise locally administered – say, injected steroids – might be useful clinically”.
He added: “But the picture we would imagine being more directly translatable for more patients into the clinic is to inhibit Garp, because then… you’re going after this pathway that we identified.”
Treatments that work on Garp are currently being developed and clinical trials are planned.
This work will also look at the potential for treating patients who do not respond to other treatments, including immunotherapy.
Dr Earnshaw said: “Our pre-clinical data suggests that we also see responses in breast cancer and colorectal (bowel) cancer using the steroids… and so, with further research, expanding into other cancers is very viable.”
Santiago Zelenay, senior group leader at the CRUK Manchester Institute, said: “This research is particularly exciting because it shows that steroids, one of the most commonly administered drugs to cancer patients and usually thought to weaken the immune system, may, in certain cases, actually help the patient’s own immune system fight back.”
Professor Samra Turajlic, director of the Cancer Research UK Manchester Institute, said: “This work is the kind of science we strive for at the Cancer Research UK Manchester Institute — uncovering the deep biology of cancer to help bring us closer to a world where people live longer, better lives, free from the fear of cancer.”
The findings of the study are published in the journal Cancer Discovery.
The research received funding from Cancer Research UK, Wellcome, Ian Nelson and the National Institutes of Health.
You may like
-
Unbelievable Surge: NGX Market Value Skyrockets to N93.8tn! Discover What’s Driving This Uptrend!
-
Discover How the New Apple Watch Measures Your Heart Rate with Amazing Accuracy!
-
AI Apps Hit 1 Billion Users: ChatGPT Surpasses X! Discover the Trend!
-
Are You at Risk for Prostate Cancer? Discover Why Some Men Could Miss Important Screenings!
-
England Star Hails Incredible Performances After World Cup Qualification – Discover the Secrets Behind Their Success!
-
Discover Why Breakfast Is Truly the Most Important Meal You Can Have!
HEALTH
Can’t Tell If It’s Covid or the Flu? Here Are the Key Symptoms You Must Recognize as Cases Surge!
Published
2 weeks agoon
October 16, 2025By
OBS
Health officials are warning of a seasonal surge in flu and Covid-19, with cases already starting to rise as autumn arrives.
But because the two viruses share many symptoms, it’s difficult to tell them apart.
When a sniffle seems to progress further than “just a cold”, it’s hard to know what it might be – but there are differences in how the viruses appear and the risks they pose.
Do I have Covid?
Covid-19 continues to cause serious illness, particularly among vulnerable groups. The virus is constantly evolving, with new variants spreading easily through coughs, sneezes or even conversation.
Vaccination campaigns each autumn continue to try to prevent hospitalisations and deaths.
The list of symptoms has shifted since 2020. Many people now experience cold-like symptoms, such as a runny nose, sore throat or blocked sinuses. But others still report fever or chills, a persistent cough, fatigue, headaches, shortness of breath, or a loss of taste and smell. Nausea and diarrhoea can also occur.
Doctors say a hoarse throat has become one of the hallmark features of the latest variants.
The latest strain, called Stratus, has two variants, XFG and XFG.3. Another recent strain, NB.1.8.1 nicknamed Nimbus, is also prevalent.
“Stratus is linked to hoarseness and fatigue, whereas Nimbus is associated with a ‘razor-blade’ sore throat and digestive symptoms like nausea and bloating,” explains Dr Bruno Silvester Lopes, lecturer in microbiology at Teesside University. “Both are highly transmissible but not more severe than previous variants.”
Despite accounting for a large proportion of new cases, experts are not concerned about the spread, noting it is normal for viruses to mutate and change.
Those aged 65 and over, care home residents, and people with underlying health problems are all entitled to the Covid-19 booster.
Do I have the flu?
Flu is a respiratory infection that strikes hardest in winter and can be far more debilitating than the common cold. While colds typically bring a runny nose, sneezing, watery eyes and mild throat irritation, flu tends to arrive suddenly with fever, aches and exhaustion.
Last winter alone, the flu sent more than 8,000 people to hospital. Over the past two years, at least 18,000 deaths in the UK have been linked to the virus. Children, older adults, people with long-term health problems and those with weakened immune systems face the highest risks.
Vaccination remains the strongest defence. Research shows that last year’s jab prevented thousands of severe cases, cutting hospital admissions by almost a third among over-65s and by more than half among children aged two to 17.
This autumn, the flu vaccine is being offered free to those over 75, pregnant women, children aged 2 and 3 through their GP, and schoolchildren from reception to year 11 via nasal spray. Adults under 65 with certain health conditions are also eligible.
How to tell difference between Covid and a cold
Colds and Covid can be tricky to distinguish as many of their symptoms overlap.
“Both can give you a sore throat, runny or stuffy nose, sneezing, and coughing,” says Dr Chun Tang, a GP at Pall Mall Medical. “However, Covid can also cause fever, fatigue, muscle aches, and that telltale loss of taste or smell – although that’s less common with newer variants.
“Covid is also more likely to make you feel wiped out, like you’ve been hit by a truck, whereas a cold tends to stay in your head and chest.”
“Both spread mainly through droplets when someone coughs, sneezes, or even talks near you,” says Tang. “Covid, however, can also spread more easily through the air in tiny particles that linger, especially in crowded or poorly ventilated spaces.
“So, while a cold might need a bit of close contact to catch, Covid can sometimes sneak across the room if you’re unlucky.”
Are cases climbing now?
According to the UK Health Security Agency, levels of flu and Covid-19 are already on the rise running into winter, joining other seasonal bugs such as RSV and norovirus.
UKHSA reported an increase in the number of reported Covid diagnoses in its 9 October report, with the most prevalent strain noted as Stratus XFG. Flu activity was also increasing among young adults with a surge in emergency department attendances for flu-like illnesses.
Experts say the risk is highest during the colder months when viruses spread more easily indoors.
Officials are urging everyone eligible to take up their vaccines to reduce the strain on hospitals and protect the most vulnerable. Both flu and Covid-19 can be serious, but prevention and early awareness remain the best tools against them.
HEALTH
Shocking Recall: Grocery Store Taco Kits Contain Hot Chocolate Packets!
Published
2 weeks agoon
October 16, 2025By
OBS
The Giant Company is recalling its Giant and Martin’s-branded hard taco dinner kits after hot chocolate sachets were discovered inside the packages.
The mix-up, announced October 10, could pose a risk to consumers with milk allergies.
The recall affects the 9.4-ounce Giant/Martin’s Hard Taco Dinner Kit (UPC 068826757516) all lot and codes, with a best-by date of March 13, 2026.
Consumers with a milk allergy should not eat the kits. Anyone who purchased the affected product can return it to a nearby store with a receipt to receive a refund.
Milk allergy is a common food allergy in children, caused by cow’s milk or milk from other mammals, according to Mayo Clinic.
.jpg)
Reactions can occur soon after consumption and range from mild symptoms like hives, vomiting, and digestive issues to severe, life-threatening anaphylaxis.
The main treatment is avoiding milk and milk products. Most children outgrow the allergy, while others may need to avoid milk long-term.
Meanwhile, Sno Pac Foods, a Minnesota-based company, has issued a nationwide recall of its frozen spinach products due to potential contamination with Listeria monocytogenes, a bacterium that can cause serious infections.
The recall affects two products: Del Mar 35-pound Bulk Organic Frozen Spinach and Sno Pac 10-ounce Organic Frozen Cut Spinach. These products were distributed across various retail stores in the U.S. The recall was prompted after a bulk case of spinach from a supplier tested positive for the bacterium.
This same lot was used to repack the Sno Pac Organic Frozen Cut Spinach into 10-ounce bags. As a precaution, Sno Pac Foods has suspended production of these products while investigating the source of the contamination.
No illnesses have been reported in connection with the recalled products. However, Listeria monocytogenes poses a significant health risk, particularly to young children, the elderly, pregnant women, and individuals with weakened immune systems.
In healthy individuals, infection may cause short-term symptoms such as high fever, severe headache, stiffness, nausea, abdominal pain, and diarrhea. Pregnant women are especially vulnerable, as infection can lead to miscarriage or stillbirth.
HEALTH
Could Trump’s Meds Be Slowing Him Down? Expert Warns They Might Not Be Helping!
Published
2 weeks agoon
October 16, 2025By
OBS
An adviser to Health Secretary Robert F. Kennedy Jr. warned Wednesday that President Donald Trump may appear to be “slowing down” because of the medication he takes, as questions continue over the president’s mental and physical health.
In a speech to the European Parliament, Dr. Aseem Malhotra, a British cardiologist who advised the lobby group Make America Healthy Again, said that Trump, 79, may be suffering from fatigue due to his use of cholesterol medications, or statins, and aspirin.
“President Trump is taking statins; he’s on two cholesterol drugs… This man does not have any cardiovascular disease,” Malhotra said during a launch event for a new European health activism organization, Make Europe Healthy Again (MEHA).
“If you’re over 75 and have no cardiovascular disease, the benefit of statin is – are you ready? One in 446. You have to give the statin to 446 people to prevent one cardiovascular event,” he said. “In other words, no significant benefit.”
Malhotra, a vaccine skeptic whose anti-COVID shot and anti-statin views have been rebuked as misinformation by medical experts, has been a close ally to Kennedy.
His comments come amid claims that the president may be showing signs of “cognitive decline,” due to mixing up names and other gaffes. Despite the speculation, the White House said last week that Trump was in “excellent overall health” following a “routine check-up” at Walter Reed Medical Center.
In addition to concerns about his mental acuity, Trump’s physical health has also come under question. The president has often been photographed with bruising on his right hand, raising concerns that he is suffering from some illness. The White House insists that this is a result of him shaking hands with a large number of people and his use of aspirin, which he takes as a cardiovascular protection.
White House officials revealed earlier this year that he had been diagnosed with chronic venous insufficiency, a non-life-threatening condition caused by the veins struggling to return blood to the heart. The condition is common for people over the age of 70.
During his remarks, Malhotra noted that cholesterol medication often comes with side effects, saying: “The most common ones are fatigue, muscle pain. It can cause brain fog.”
He added: “Now, I know that President Trump is a remarkable man for his age, but there have been reports – probably exaggerated by some sort of devious press for sure. But I know people who are close to him… and of course he is doing a tremendous job and maybe only sleeping four hours a night, and that may be part of it too, but it could also be that he’s slowing down a little bit because of his statins,” he continued.
Malhotra then suggested that Trump go “off his statins, off his aspirin” and would be “feeling great” within a matter of weeks.
He was apparently so concerned about Trump taking the medications that he has reached out to several people close to the president to try and warn him against it, The Daily Beast reported Tuesday ahead of Malhotra’s public remarks.
In a statement to The Independent, the White House said: “President Trump is a champion-level golfer with the mental acuity and energy levels that most young people could not fathom having.”
“So-called medical ‘experts’, especially foreign ones with no relevance or involvement with the Administration, should stop beclowning themselves and marring their credibility by pitching their idiotic hot takes with Fake News outlets that have nothing better to cover,” White House spokesman Kush Desai said.
Along with Trump’s most recent gleaming health report, White House officials noted the president received a flu shot and an updated COVID-19 booster, which Malhotra called unnecessary.
“I think President Trump, I think he genuinely took the [COVID-19] booster, I don’t think that this is a front. I think he believes in what’s happening. He himself is also a victim of medical misinformation,” Malhotra said.
However, recent research shows that COVID shots protect against serious illness and death, especially for people over the age of 65. Researchers from the VA St. Louis Healthcare System looked at data from nearly 300,000 veterans and found that last season’s Covid vaccine reduced the risk of emergency room visits by 29 percent, hospitalizations by 39 percent and deaths by 64 percent for all ages, NBC News reports.
Combining all three outcomes, the shots’ overall effectiveness was 28 percent, making it similar to the flu shot, which ranges from 30 to 60 percent protective against severe illness or death.
An April health report also noted that Trump, who was the oldest person to ever take office in January at 78, was in “excellent” health.
The report also noted that Trump had high cholesterol that was being treated with the statin rosuvastatin and ezetimibe, a medication used to absorb cholesterol. He was also taking a low-dose aspirin as part of the treatment, his doctors said at the time.
While there is no evidence that statins alone cause dementia, the FDA added a safety warning to the medications in 2012 to warn of “notable, but ill-defined memory loss or impairment that was reversible upon discontinuation of statin therapy.”
Last month, Malhotra made headlines after suggesting – without evidence – that King Charles III may have gotten cancer because of the COVID-19 vaccine.
Categories
Top Tags
Related posts
