As the autumn’s cool weather settles in, so does flu season – bringing with it the familiar experiences of sniffles, fever and cough. Every year, influenza...
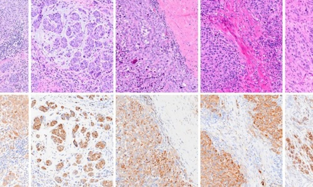
A groundbreaking “super” vaccine could stop cancer growing and spreading entirely. Researchers say they have developed a novel “nanoparticle-based” jab that can prevent melanoma, pancreatic and...
A “significant change” in the Covid-19 vaccine eligibility has left members of the public unsure about who can get a jab this autumn. The criteria for...
A “significant change” in the Covid-19 vaccine eligibility has left members of the public unsure about who can get a jab this autumn. The criteria for...
UK pharmacies have reported having to deal with angry and confused patients after the NHS booking system allowed non-eligible patients to book Covid jabs. According to...
Two drug companies are set to receive funding to produce HIV prevention drug lenacapavir more cheaply, in what one key researcher has called a “huge” step...
UK experts have slapped down Donald Trump’s unfounded remarks over measles, mumps, and rubella (MMR) vaccines, warning the US president’s claims are “nonsense” and could risk...
A vaccine advisory board, comprised of anti-vaccine advocates hand-picked by Health Secretary Robert F. Kennedy Jr., voted in favor of weakening Covid-19 vaccine recommendations on Friday,...
Adeyinka Adedipe Edo State Deputy Governor, Dennis Idahosa, on Tuesday called on the Association of Medical Laboratory Scientists of Nigeria to leverage research and scientific findings...
Florida’s Surgeon General says his team did not study what impact ending vaccine mandates in the state would have on the spread of diseases. Joseph Ladapo,...